Khám phá nguyên nhân gây tử vong ở bệnh nhân ung thư
Sự xâm lấn của khối u vào các mạch máu lớn có thể là nguyên nhân chính dẫn đến tử vong do ung thư, chứ không phải di căn như người ta từng nghĩ trước đây.
Theo một nghiên cứu mới của Trung tâm Y tế Tây Nam thuộc Đại học Texas (Hoa Kỳ), nguyên nhân chính gây tử vong do ung thư là sự xâm lấn của khối u vào các mạch máu lớn gây ra cục máu đông và suy đa cơ quan, chứ không phải là di căn như phỏng đoán của các nhà khoa học trước đây. Kết quả được công bố trên tạp chí Nature Medicine, có thể thúc đẩy các biện pháp can thiệp kéo dài sự sống cho bệnh nhân ung thư giai đoạn cuối.
“Chúng tôi đang cố gắng trả lời một câu hỏi quan trọng: Điều gì giết chết bệnh nhân ung thư? Tại sao họ lại chết vào một ngày cụ thể chứ không phải là một thời điểm khác sớm hơn hoặc muộn hơn sáu tháng?”, TS. Matteo Ligorio, giáo sư trợ lý về phẫu thuật tại Trung tâm Ung thư toàn diện Harold C. Simmons, cho biết.

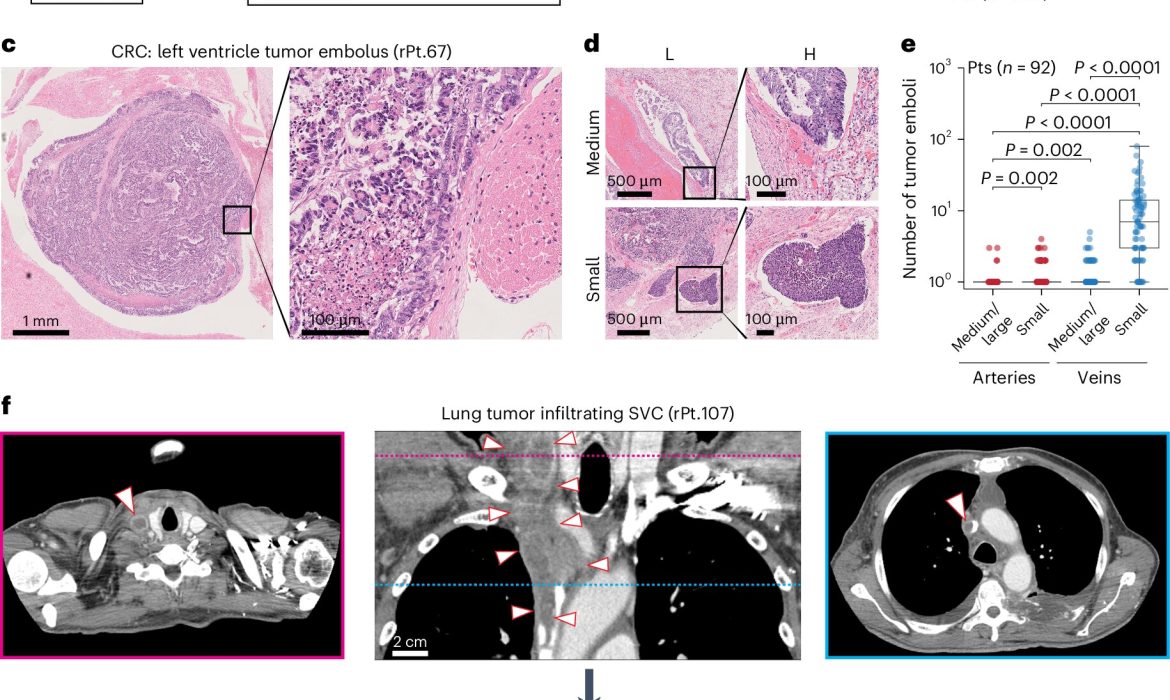
Sự xâm lấn của khối u vào mạch máu và thuyên tắc khối u được phát hiện thông qua việc khám nghiệm tử thi các bệnh nhân ung thư. Nguồn: Nature Medicine
Ung thư cướp đi sinh mạng của hàng triệu người trên thế giới mỗi năm. Tuy nhiên, điều gì thực sự kết thúc cuộc đời họ vẫn còn là một bí ẩn, TS. Ligorio giải thích. Từ lâu, các nhà khoa học cho rằng bệnh nhân ung thư tử vong vì sự lan rộng của khối u trong cơ thể – hiện tượng di căn. Tuy nhiên, một số người vẫn sống chung với bệnh ung thư di căn trong nhiều năm. Do vậy, đây có thể đây không phải là nguyên nhân chính gây suy giảm lâm sàng và dẫn đến tử vong.
Một số nghiên cứu cho thấy bệnh nhân ung thư có nhiều nguy cơ xuất hiện cục máu đông trong tim, gan và phổi, cho thấy các khối u di căn đã tác động đến hệ tim mạch. Tuy nhiên, người ta vẫn chưa biết rõ liệu đây có phải là nguyên nhân khiến bệnh nhân ung thư tử vong.
Để tìm hiểu vấn đề này, TS. Ligorio và TS. Kelley Newcomer, Phó giáo sư về nội khoa tại Trung tâm Y tế Tây Nam thuộc Đại học Texas đã tiến hành một nghiên cứu đoàn hệ hồi cứu trên hơn 100 bệnh nhân ung thư đại trực tràng, phổi, buồng trứng, gan hoặc tuyến tụy đã tử vong tại bệnh viện Đại học William P. Clements Jr. và bệnh viện Parkland Health và đã được khám nghiệm tử thi thường quy. Sau đó TS. Newcomer đã tìm thêm 31 bệnh nhân giai đoạn cuối đang được chăm sóc giảm nhẹ: 21 người có khối u đặc và 10 người mắc các bệnh lý khác.
Trong những tuần tiếp theo, bà đã theo dõi và khám cho những bệnh nhân này. TS. Newcomer và đội ngũ lâm sàng của TS. Ligorio cũng lấy mẫu máu bất cứ khi nào bệnh nhân báo cáo tình trạng sức khỏe thay đổi đáng kể hoặc khi giảm điểm số theo Thang điểm chức năng giảm nhẹ (Palliative Performance Scale) – một trong những công cụ thường dùng để đánh giá tình trạng của bệnh nhân trong các cơ sở chăm sóc giảm nhẹ.
Khi những bệnh nhân này qua đời – trung bình khoảng 38 ngày kể từ khi tham gia nghiên cứu, TS. Ligorio tiến hành khám nghiệm tử thi với quy trình riêng cho từng bệnh nhân. Mặc dù các quy trình khám nghiệm tử thi thông thường khó duy trì được sự nguyên vẹn của các mạch máu lớn, song quy trình của TS. Ligorio giúp bảo toàn các mạch máu này để ông có thể kiểm tra thành mạch và phía trong mạch máu.
Các cuộc khám nghiệm tử thi của TS. Ligorio cho thấy không giống các bệnh nhân tử vong vì các nguyên nhân khác, những bệnh nhân ung thư thường có khối u xâm nhập vào thành mạch và lan vào bên trong các mạch máu lớn, bao gồm tĩnh mạch cửa, tĩnh mạch chủ dưới, tĩnh mạch gan và/hoặc động mạch chủ bụng. Trong một số trường hợp có sẵn ảnh chụp CT, các khối u xâm lấn mạch máu đã xuất hiện trước khi bệnh nhân tử vong vài tuần hoặc vài tháng, cho thấy những tổn thương này có thể được phát hiện qua ảnh chụp thường quy.
Ngoài ra, TS. Nicola Aceto, Giáo sư về ung thư phân tử ở Viện Công nghệ Liên bang Thụy Sĩ (ETH Zurich) và các cộng sự đã phân tích các mẫu máu mà đội ngũ lâm sàng của TS. Ligorio đã thu thập. Kết quả cho thấy sự gia tăng đột biến các tế bào ung thư trong máu ngay trước khi bệnh nhân tử vong, cho thấy hệ tim mạch có liên quan chặt chẽ đến quá trình tiến triển của bệnh.
Dựa trên những phát hiện này, TS. Ligorio đề xuất một lý thuyết mới về nguyên nhân khiến bệnh nhân ung thư tử vong: Khi khối u – dù là nguyên phát hay di căn, xâm nhập vào các mạch máu lớn, các mảnh nhỏ của khối u có thể vỡ ra và hòa vào máu, khiến máu dễ bị đông lại. Các cục máu đông này sẽ hạn chế lưu lượng máu đến các cơ quan, dẫn đến suy đa tạng và cuối cùng là tử vong.
Để xác nhận giả thuyết này, các nhà nghiên cứu đã kiểm tra dữ liệu hình ảnh CT từ 1.250 bệnh nhân ung thư đã tử vong được các cộng sự của TS. Ligorio ở Đại học Lubeck và Đại học Mainz ở Đức thu thập. TS. Dario Ghersi, Phó Giáo sư tại Đại học Nebraska ở Omaha, và TS. William Gasper, khi đó đang làm nghiên cứu sinh tại Đại học Nebraska ở Omaha, đã cùng phân tích các dữ liệu này với TS. Ligorio, TS. Newcomer và TS. Aceto. Họ nhận thấy hầu hết các bệnh nhân này đều có khối u xâm lấn vào các mạch máu lớn, góp phần củng cố giả thuyết của TS. Ligorio.
“Việc xạ trị hoặc phẫu thuật để điều trị các khối u gần các mạch máu lớn có thể thay đổi cách chúng ta chẩn đoán, quản lý và điều trị cho bệnh nhân ung thư”, TS. Newcomer nhận xét.
Hiện nay, TS. Ligorio và các cộng sự đang thiết kế các thử nghiệm lâm sàng để thử nghiệm các phương pháp điều trị này và xác định xem việc nhắm vào sự xâm lấn của khối u vào mạch máu có thể kéo dài thời gian sống cho bệnh nhân ung thư không, bao gồm những bệnh nhân ung thư giai đoạn tiến triển (di căn).
Thanh An dịch từ UT Southwestern Medical Center
Nguồn: https://www.utsouthwestern.edu/newsroom/articles/year-2025/oct-biological-causes-cancer-deaths.html
